Endodontics & Restorative

What is endodontics and restorative ?

Endodontic treatment treats infections and inflammation inside the tooth (the pulp), most commonly known as root canal treatment, where the dentist clean, disinfect, and fill the canals. Restorative dentistry rebuilds tooth structure and function after decay, fracture, or endodontic therapy—using fillings, inlays/onlays, or crowns. Together, they save your natural teeth, remove pain, and restore strength and aesthetics.

Our Price vs. Others

Save up to 90% compared to treatments in the US, Europe & GCC while ensuring luxury standards, top specialists, and a seamless experience from start to finish.

Country
Price
Egypt Best value
$85–$130/root canal
Europe
$430–$1200/root canal
GCC
$300–$800/root canal
USA
$700-$1600/root canal

Why Choose Us

Best Price Assurance

Best Price Assurance

Find the same treatment cheaper at the same clinic? We’ll match it.

Zero Fees

Zero Fees

Transparent pricing, we don't take any fees from you

Affordable

Affordable

Save up to 85% without compromising on quality

Trusted Network

Trusted Network

Our network is built on hand-selected, top-rated clinics and specialists

Seamless Experience

Seamless Experience

We handle all logistics from treatment to recovery

Tourism Benefits

Tourism Benefits

Recover while exploring the beauty of Egypt

Our Trusted Partners

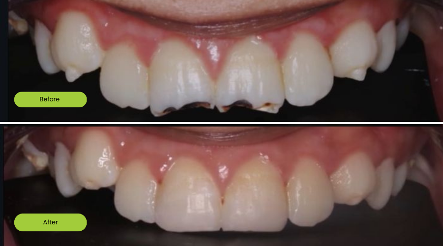
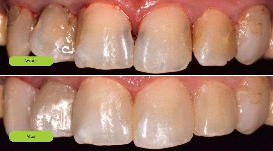
Before & After

Transformation image
Transformation image

Our Services

Treatment Matchmaking

We specialize in dental procedures—such as implants, veneers, crowns & bridges & whitening—connecting you with accredited clinics and renowned specialists

Travel & Hospitality Assistance

Beyond treatment, we curate travel experiences: from Nile cruises and desert excursions to beach resorts and cultural tours—recover in comfort while exploring Egypt

Concierge Care

From airport pickups to local transport, interpreter services, and wellness support—our concierge ensures a smooth journey every step of the way

Transparent Pricing

Benefit from clear, competitive pricing with no hidden fees and cost-savings of up to 80% compared to Western rates

FAQs

Does a root canal hurt?

Modern root canals are painless thanks to anesthesia. Most patients actually feel relief because the infection causing tooth pain is removed.

Why do I need a root canal?

You may need a root canal if the inside of the tooth is infected to save your natural tooth instead of losing it.

What happens after a root canal?

Your tooth is cleaned, sealed, and usually topped with a crown or filling so you can chew normally again.

Contact form