Crowns & Bridges

What are crowns & bridges?

Dental Crown: A crown is a custom-made “cap” that covers a damaged, weak, or discolored tooth. It restores the tooth’s shape, size, strength, and natural appearance. Crowns are often made from porcelain, ceramic, or zirconia for durability and aesthetics.

Dental Bridge: A bridge is used to replace one or more missing teeth. It consists of one or more artificial teeth anchored to neighboring natural teeth or implants with crowns. Bridges literally “bridge the gap” to restore your bite, function, and smile.

Our Price vs. Others

Save up to 90% compared to treatments in the US, Europe & GCC while ensuring luxury standards, top specialists, and a seamless experience from start to finish.

Country
Price
Egypt Best value
$85-$150/crown
Europe
$600–$1600/crown
GCC
$700–$1500/crown
USA
$1200-$2800/crown

Why Choose Us

Best Price Assurance

Best Price Assurance

Find the same treatment cheaper at the same clinic? We’ll match it.

Zero Fees

Zero Fees

Transparent pricing, we don't take any fees from you

Affordable

Affordable

Save up to 85% without compromising on quality

Trusted Network

Trusted Network

Our network is built on hand-selected, top-rated clinics and specialists

Seamless Experience

Seamless Experience

We handle all logistics from treatment to recovery

Tourism Benefits

Tourism Benefits

Recover while exploring the beauty of Egypt

Our Trusted Partners

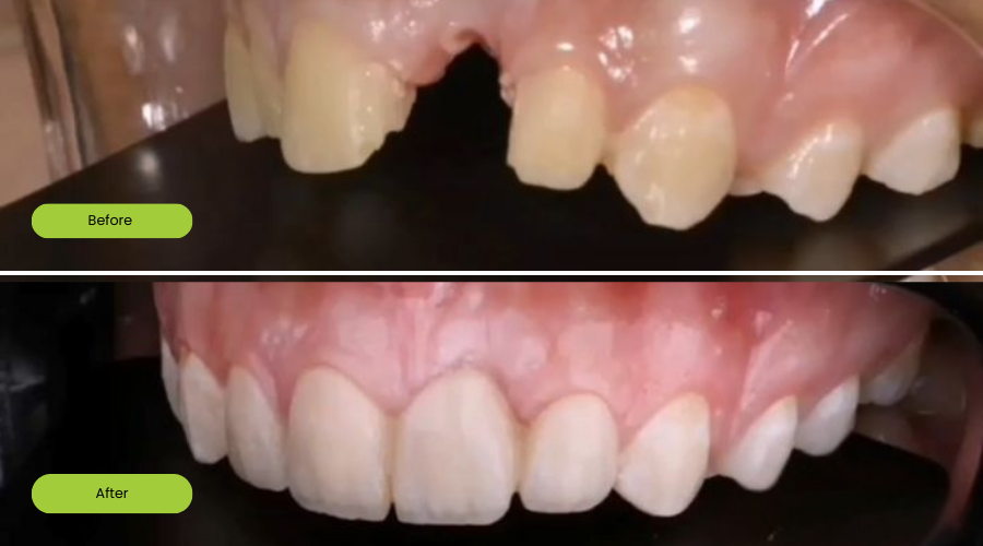
Before & After

Transformation image
Transformation image

Our Services

Treatment Matchmaking

We specialize in dental procedures—such as implants, veneers, crowns & bridges & whitening—connecting you with accredited clinics and renowned specialists

Travel & Hospitality Assistance

Beyond treatment, we curate travel experiences: from Nile cruises and desert excursions to beach resorts and cultural tours—recover in comfort while exploring Egypt

Concierge Care

From airport pickups to local transport, interpreter services, and wellness support—our concierge ensures a smooth journey every step of the way

Transparent Pricing

Benefit from clear, competitive pricing with no hidden fees and cost-savings of up to 80% compared to Western rates

FAQs

Am I suitable for a crown or bridge?

If you have a weak or broken tooth, a crown protects it. If you’re missing one or more teeth, a bridge can replace them by attaching to nearby teeth.

What are dental crowns made of?

Crowns can be porcelain, ceramic, zirconia, or metal. Porcelain and zirconia are most popular because they look natural and last long.

How long do crowns and bridges last?

With proper oral care, crowns and bridges usually last 10–15 years on average, and sometimes longer.

Contact form